ピロリ菌ページの項目一覧
| ピロリ菌とは | ピロリ菌と疾患 |
|---|---|
| ピロリ菌の感染について | ピロリ菌を見つける検査法 |
ピロリ菌とは

正式名は’ヘリコバクター・ピロリ’と言い、ヘリコとは「らせん」とか「旋回」という意味です。
ひげの部分も回転させて移動します。バクターとはバクテリア(細菌)のことです。ピロリとは胃の出口(幽門)をさす「ピロルス」からきています。この菌は胃の幽門部から初めて見つかりました。ピロリ菌の最も大きな特徴は、酸素の存在する大気中では発育しないことで、酸素にさらされると徐々に死滅します。乾燥にも弱く、グラム陰性桿菌に分類されます。
大きさは0.5×2.5~4.0μmで、数本のべん毛を持ち、胃の中を移動します。 ピロリ菌が強酸性下の胃の中で生育できるのは、胃の中にある尿素をアンモニアと二酸化炭素に分解し、アンモニアで酸を中和することにより、自分の身の周りの酸を和らげて生きています。
ピロリ菌と疾患
胃の壁を傷つけ、胃を守っている粘液を減らし、酸の攻撃を受けやすくしてしまうので、胃炎や消化性潰瘍を発症させる要因になります。
ピロリ菌が胃壁に取り付くと細胞を弱めてしまう毒素を出し始めます。すると菌をやっつけようと血液中の白血球が付近に集まります。両者の戦いが大きくなると、胃粘膜の消耗を早め、粘膜が炎症を起こして胃炎になったり、胃や十二指腸の粘膜が深くえぐられて消化性潰瘍になったりすると考えられます。
ピロリ菌の感染について

ピロリ菌の感染率は衛生環境と相関すると指摘され、60代以上の日本人の60%以上がピロリ菌に感染しているといわれています。ピロリ菌の感染経路はまだはっきり解明されていませんが、経口感染が主な経路と考えられています。上下水道が整備されていないような地域や国では感染率が高く、先進国の中では日本は際立って高い感染率です。しかし、衛生状態が改善された今日、若い世代の感染率は急速に低下しています。また感染していても、消化性潰瘍がかならず発症するとはかぎりません。
こんな症状があったら検査をお勧めします
- ● 胃や十二指腸潰瘍の経験のある方や、再発をくりかえす方
- ● 消化性潰瘍と診断された方
- ● 胃がん家系でご心配な方、
- ● なんとなく胃の具合がいつも悪い方
ピロリ菌を見つける検査法
呼気で行う場合

診断薬を服用し、服用前後の呼気を集めて診断します。
最も精度の高い診断法です。
簡単に行える方法で、感染診断前と除菌療法後4週以降の除菌判定検査に推奨されています。
ピロリ菌が持つウレアーゼという酵素により、胃の中の尿素を分解して、アンモニアと二酸化炭素を生成します。尿素の分解により、アンモニアと同時に生じた二酸化炭素は速やかに吸収され、血液から肺に移行し、呼気中に炭酸ガスとして排泄されます。ピロリ菌に感染している場合では、尿素が分解されるため呼気にCO2が多く検出されることになります。
内視鏡で行う場合
内視鏡検査では、胃炎や潰瘍などの病気があるかどうかを直接観察して調べますが、それと同時に、胃粘膜を少し採取しそれを使って検査する方法です。
1) 培養法
胃の粘膜を採取してすりつぶし、それをピロリ菌の発育環境下で5~7日培養して判定します。
2) 迅速ウレアーゼ法
ピロリ菌が持っているウレアーゼという、尿素を分解する酵素の活性を利用して調べる方法です。
採取した粘膜を特殊な反応液に添加し、反応液の色の変化でピロリ菌の有無を判定します。
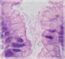
3) 組織鏡検法
胃の粘膜の組織標本に特殊な染色をしてピロリ菌を顕微鏡で探す組織診断方法です。















